Skip to content Jump to contact details Jump to display settings

Ceramic Veneers in Melbourne

Sho Dental Laboratory provides high-quality ceramic veneers to dentists and dental clinics. We do not treat patients—dentists collaborate with us to create flawless, natural-looking restorations.

Get in touch with Sho Dental Laboratory today on

Seamless Aesthetics & Natural Appearance

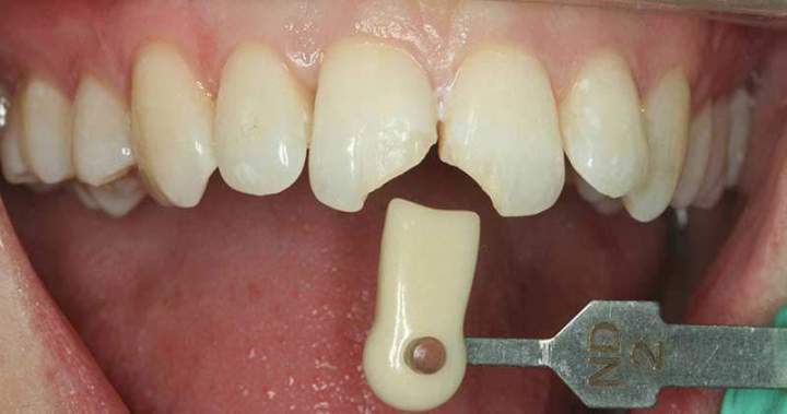
At Sho Dental Laboratory, we specialize in crafting ceramic veneers that blend seamlessly with natural teeth. Our high-quality materials, including lithium disilicate and feldspathic porcelain, ensure durability while maintaining an ultra-thin, lifelike translucency.

We work closely with dentists to design customized veneers tailored to each patient’s needs. Whether correcting discoloration, minor misalignment, or chipped teeth, our veneers provide a long-lasting, minimally invasive solution. Each piece is meticulously crafted for a precise fit, natural color matching, and exceptional strength.

By partnering with Sho Dental Laboratory, dentists receive superior restorations that enhance patient confidence and deliver long-term aesthetic excellence.

Custom-Crafted Solutions for a Natural, Radiant Look.

Ceramic Veneers Melbourne

Our Services

  • Ceramic Crowns
  • Ceramic Veneers
  • Dental Implants
  • Cosmetic Dentistry
  • Digital Dentistry

Our Guarantees

  • Precision & Quality
  • Reliable Turnaround
  • Dedicated Support

We Serve

  • Melbourne

Trusted Craftsmanship for Dental Professionals

Sho Dental Laboratory is committed to supporting dental professionals with expertly designed ceramic veneers that meet the highest industry standards. Utilizing advanced CAD/CAM technology and skilled craftsmanship, we ensure precision, consistency, and superior aesthetics in every restoration.

We understand the importance of collaboration, which is why we work hand-in-hand with dental clinics to provide tailored solutions. Our veneers are not just about appearance—they offer durability, biocompatibility, and a natural feel, enhancing both function and aesthetics.

While we do not treat patients directly, our expertise in dental restorations helps dentists provide stunning, confidence-boosting smiles. Trust Sho Dental Laboratory for ceramic veneers that deliver exceptional quality and long-lasting beauty.

Reliable, High-Quality Veneers for Lasting Patient Satisfaction.

Veneer Melbourne - Before Before
Veneer Melbourne - After After