Skip to content Jump to contact details Jump to display settings

Case Studies – Melbourne

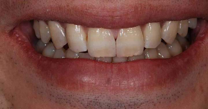
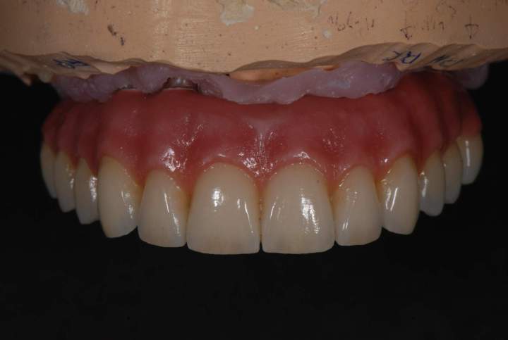
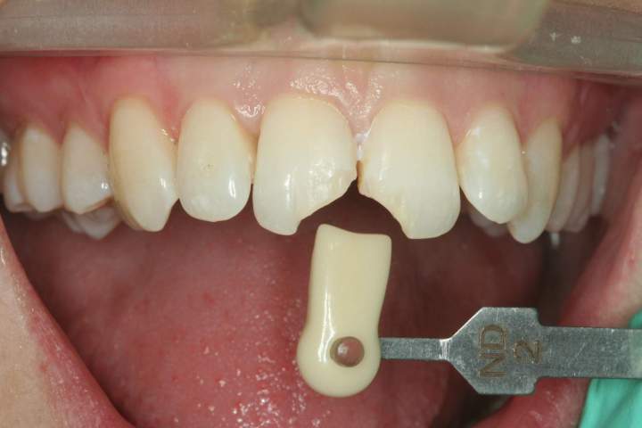
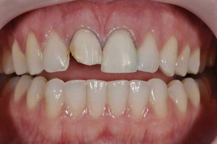
Veneers Case 1

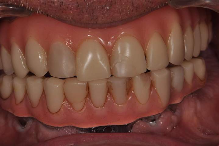
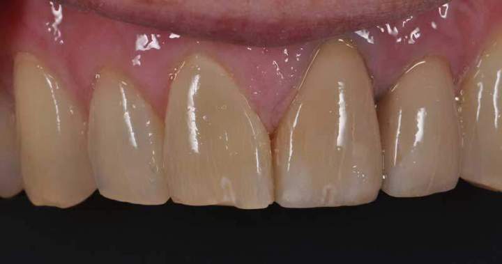
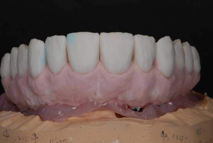
Temporary

Veneers Melbourne - Temporary

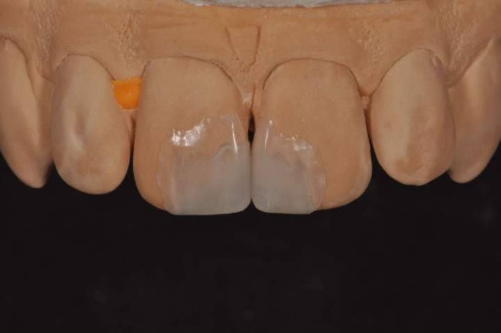
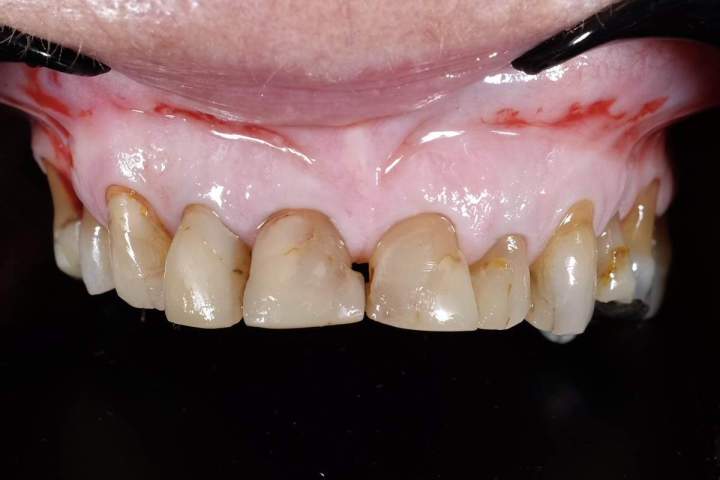
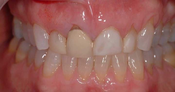
Preparation

Veneers Melbourne - Preparation

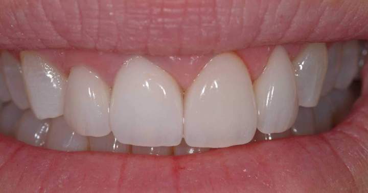
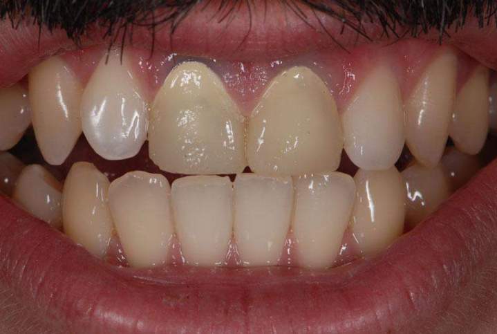
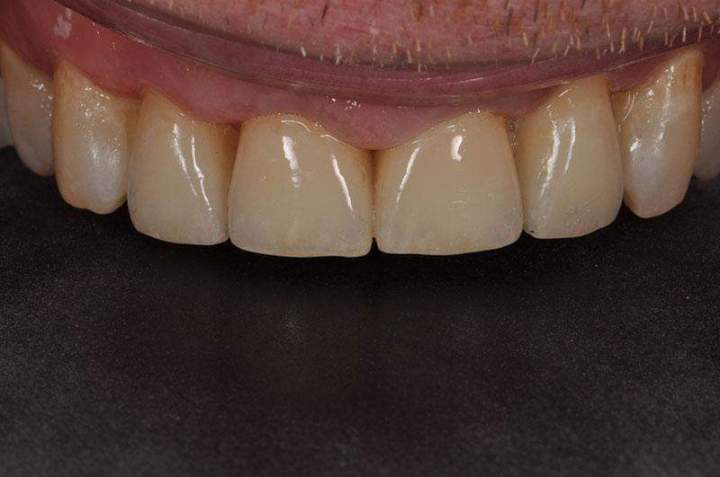
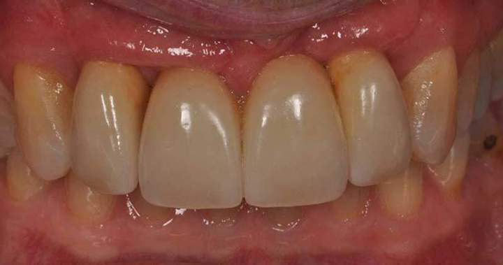
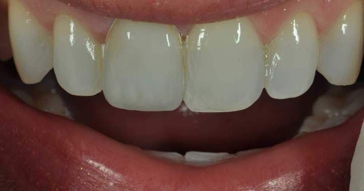
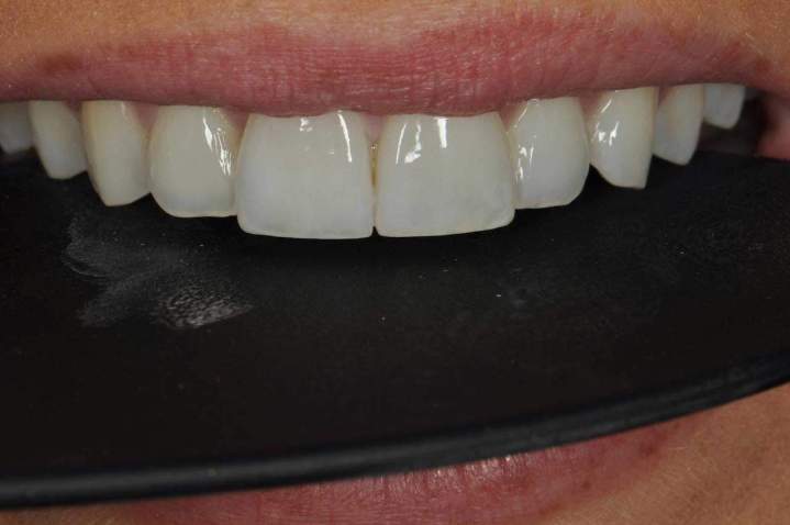
After

Veneers Melbourne - After

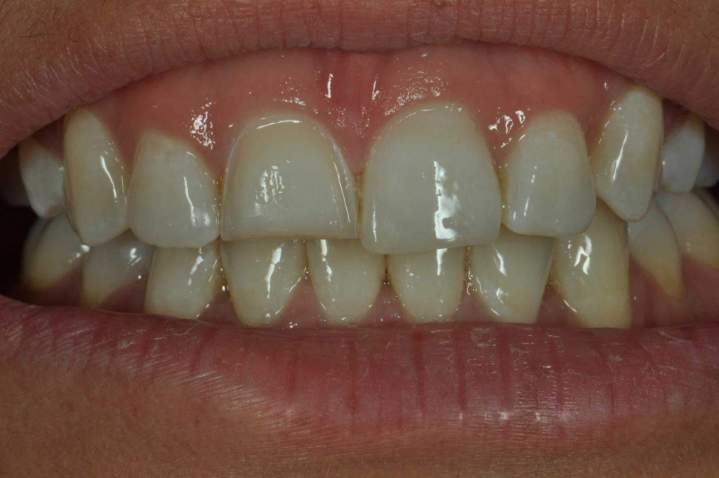
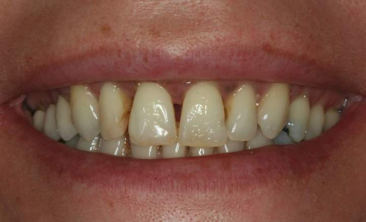
Case 2

Veneer Melbourne - Before Before
Veneer Melbourne - After After

Case 3

Veneer Melbourne - Before Before
Veneer Melbourne - After After

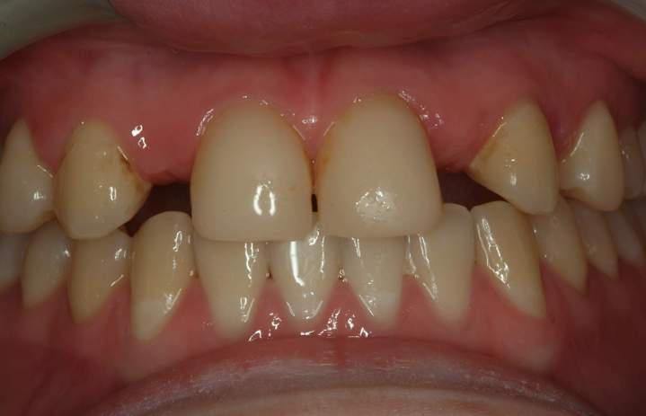
Before

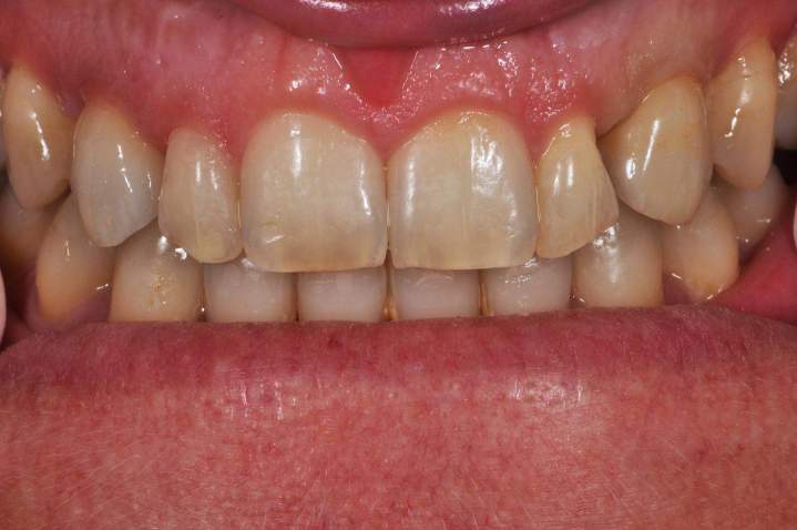
E-Max Melbourne - Before

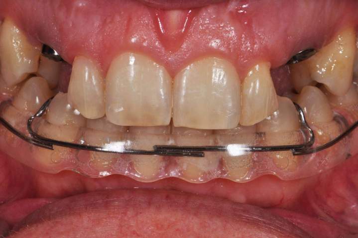
Temporary

E-Max Melbourne - Processing

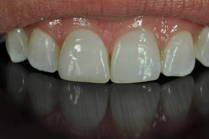
After

E-Max Melbourne - After
E-Max Melbourne - Before

Before

E-Max Melbourne - Processing

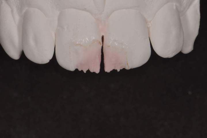
Preparation

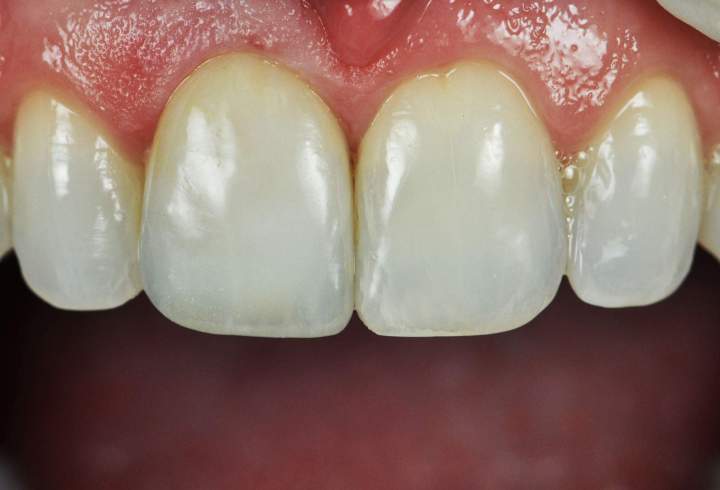
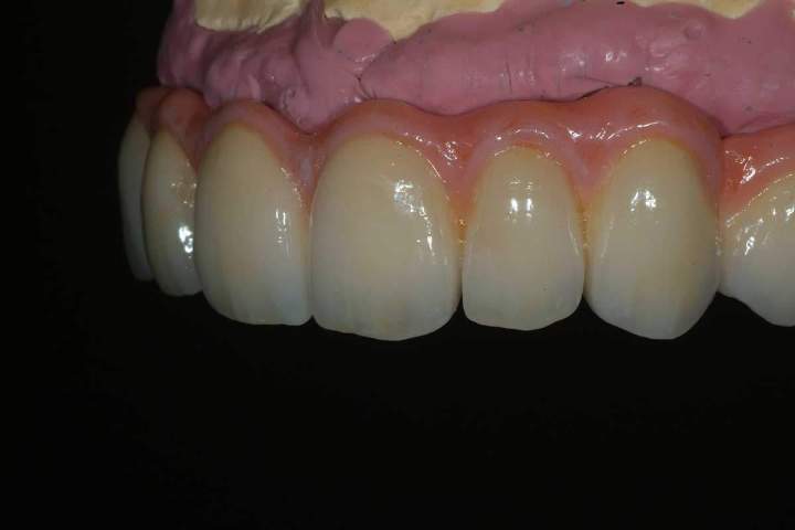
E-Max Melbourne - After

After

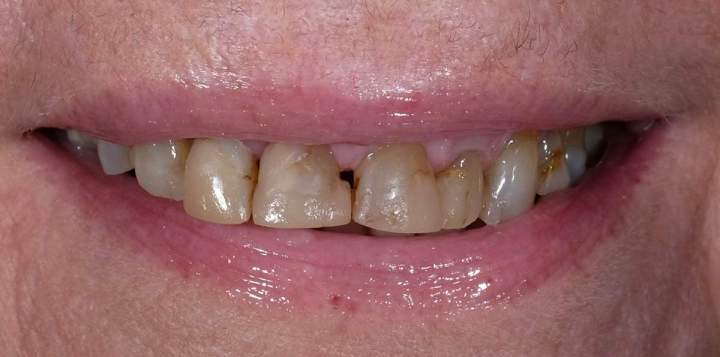
Before

E-Max Melbourne - Before

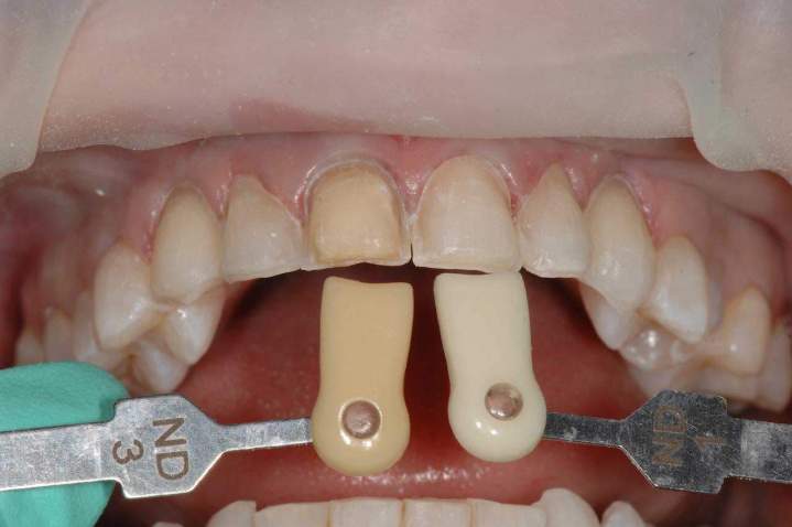
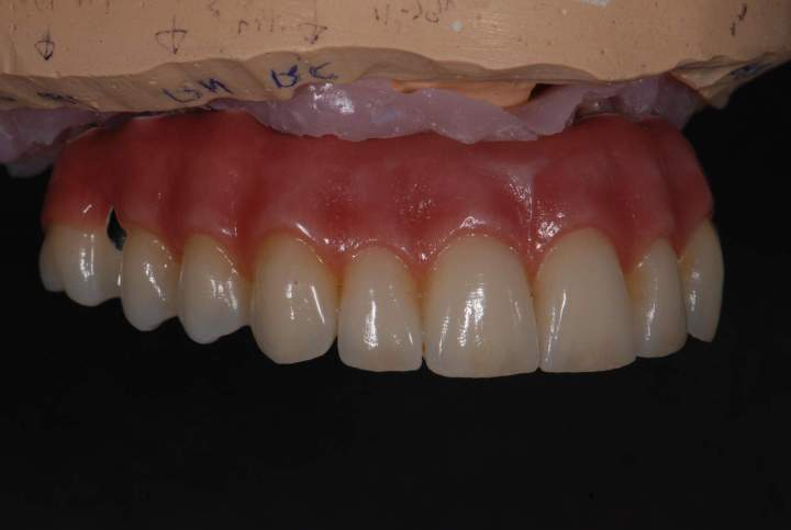
Preparation

E-Max Melbourne - Processing

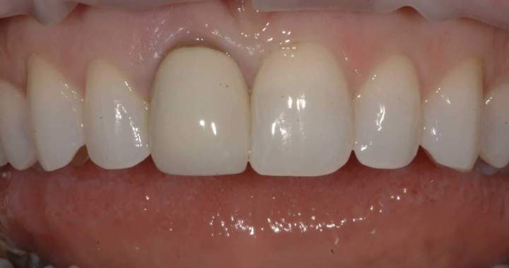
After

E-Max Melbourne - After
E-Max Melbourne - Before Before
E-Max Melbourne - After After

Peg Laterals

Peg Laterals Melbourne - Before Before
Peg Laterals Melbourne - After After

Case 1

before - Zirconia Melbourne Before
After - Zirconia Melbourne After

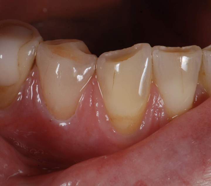
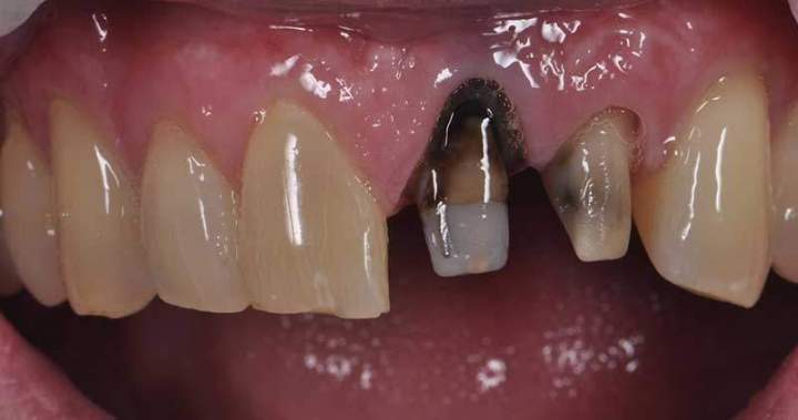
Case 2 - Dark Stump

Zirconia Melbourne - Before Before
Zirconia Melbourne - After After

Case 3

Zirconia Melbourne - Before Before
Zirconia Melbourne - After After

Case 4

Before - Zirconia Melbourne Before
After - Zirconia Melbourne After

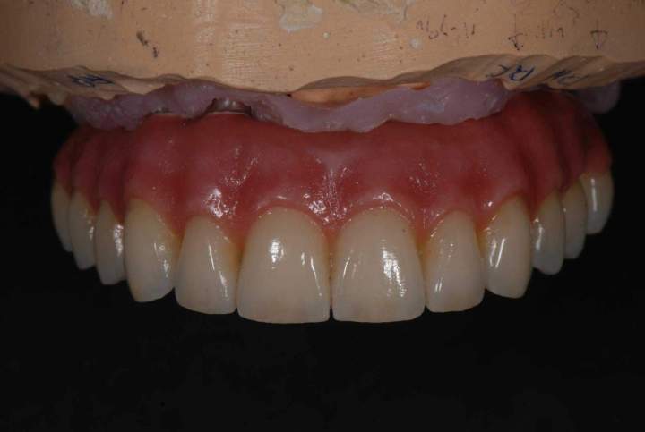
Zirconia Crown

Before Before
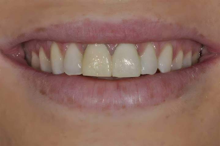
Partnering with Dentists to Create Stunning, Natural-Looking Restorations. After

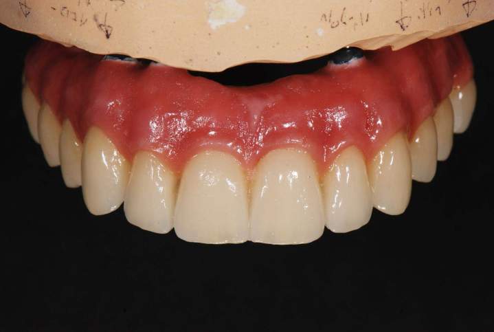
Implants

Case 1

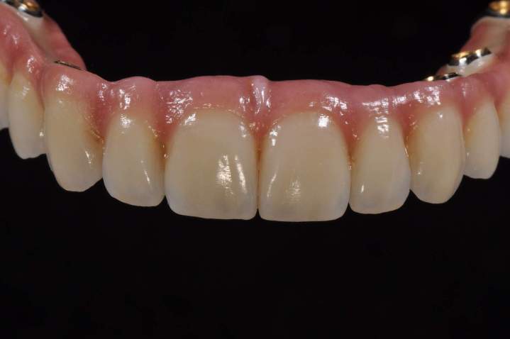
Implants Melbourne

Case 2

Implants Melbourne - Before Before
Implants Melbourne - After After

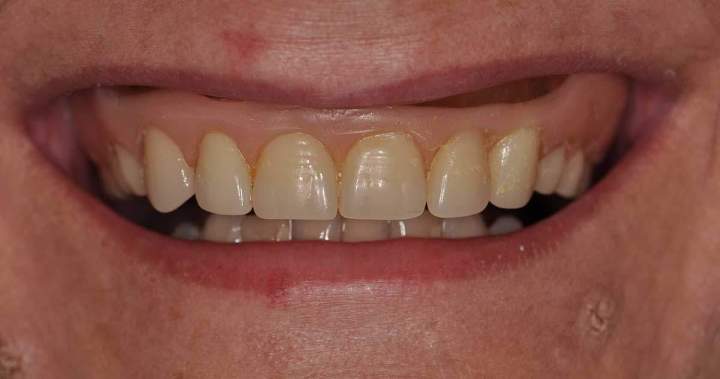
Case 3

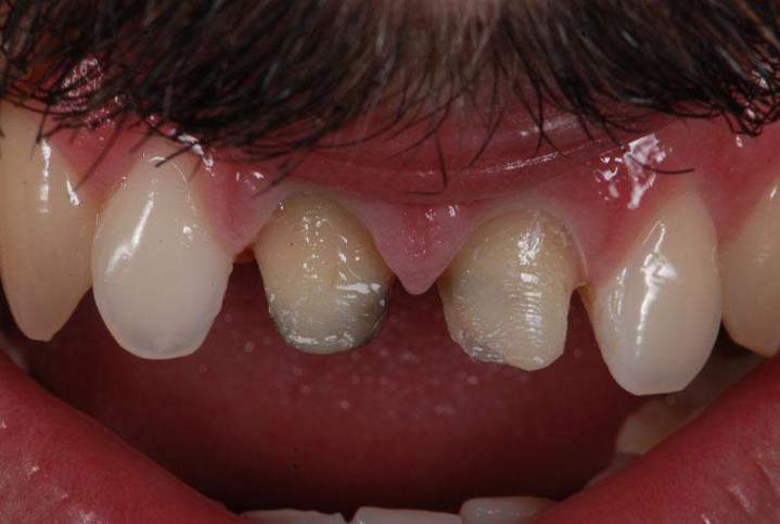
Before - Implants Melbourne Before
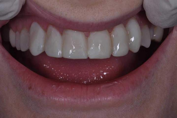
After - Implants Melbourne After

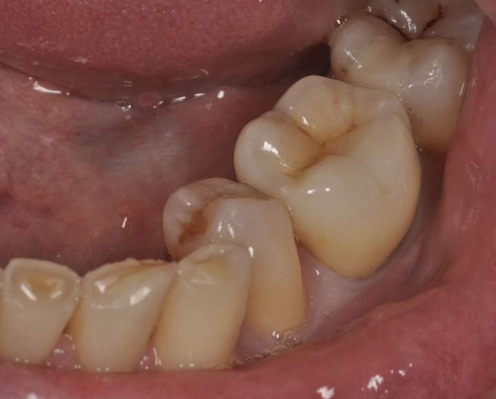
Implant Crowns

Before
Before
Excellence in Every Crown, Crafted for Lasting Smiles.
Ceramic Crowns

PFM

PFM Melbourne - Before Before
PFM Melbourne - After After
PFM Melbourne - Before Before
PFM Melbourne - After After
E-Max Melbourne - Before Before
E-Max Melbourne - After After

PFM Bridge

Before

PFM Bridge Melbourne - Before

Ceramic

PFM Bridge Melbourne - Ceramic

After

PFM Bridge Melbourne - After

In Mouth

PFM Bridge Melbourne - In Mouth

Implant Full Bridge PFM

Nexus Plus Full Bridge

Nexus Plus

Maryland Bridge

Before Picsart AiImageEnhancer Before
After Picsart AiImageEnhancer After

Posterior